Gum Disease Treatment Arlington Heights
Save Your Smile from the Roots Up

Besides your teeth, your gums are equally important for a healthy, beautiful smile. The biggest threat to their health involves a preventable infection called periodontal (gum) disease. Although it can be avoided, 50% to 80% of adults have a form of the infection. To save your smile before irreversible damage occurs, you need gum disease treatment in Arlington Heights. Costello & DeHart Dental Excellence has the individualized solutions you need to restore your oral health, so call us today.
Why Choose Costello & DeHart Dental Excellence for Gum Disease Treatment?
- Safe & Effective Scaling & Root Planing
- Enhanced Digital Imaging for Accurate Treatment Planning
- Serving Arlington Heights Residents Since 1966
What is Gum Disease?

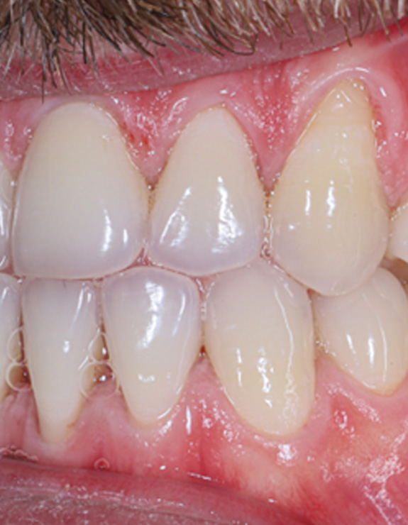
Gum disease is an infection that develops in the tissue from bacteria found in plaque and tartar accumulations. In its earliest stage, known as gingivitis, it causes inflammation, redness, and bleeding. At this point, it can be treated quickly without causing long-term complications.
Unfortunately, many people fail to recognize the early signs of it. This causes it to progress in severity. Deep pockets form in the tissue, trapping additional bacteria. Over time, it destroys the supporting structures of your teeth. Ultimately, it can lead to tooth loss. The bacteria can also enter your bloodstream, causing serious health concerns, like cardiovascular disease, Alzheimer’s disease, and diabetic complications.
Symptoms of Gum Disease

Some of the most common symptoms of gum disease include:
- Bad breath (halitosis)
- Gum recession
- Bleeding and swollen gums
- Red and tender gums
- Loose teeth
- Difficulty chewing
- Tooth sensitivity
- Changes in your bite
- Tooth loss
How Do We Treat Gum Disease?

Your dentist in Arlington Heights will evaluate your oral health to create individualized solutions to stop the infection. Depending on your needs, you may require one or both therapies.
Scaling & Root Planing

When you ask your dentist about options for treating gum disease, scaling and root planing are very likely to come up, especially if your condition has already reached its more advanced stages. Scaling and root planing are the two parts that make up the deep cleaning process, which is often necessary for removing plaque and tartar from areas that would not be reached with regular dental cleaning.
Antibiotic Treatment

Used in combination with scaling and root planing, antibiotic therapy kills the harmful bacteria found inside your gum pockets. Dr. Ernie prescribes an antibiotic (pills) to take according to his recommendations to restore the health of your smile. Over time, the medicine will disperse and begin to target problem areas, allowing your gums to heal so you can enjoy better oral health.
Protecting Your Smile from Gum Disease

To prevent future infection, Dr. Ernie discusses your current oral hygiene routine and makes recommendations for improvement. It is best to brush your teeth at least twice a day for 2 minutes each session. Use a soft-bristled toothbrush and tartar-control toothpaste to clean all surfaces of your teeth.
To clean areas that were missed by your toothbrush, do not forget to floss every night before going to bed. Choose a high-quality floss supported by the American Dental Association. Dr. Ernie may also recommend the use of an antimicrobial or antibacterial mouth rinse to reduce harmful bacteria.
You will need more frequent cleanings and checkups until the health of your smile is restored. On average, you can expect to schedule an appointment about every 3 to 4 months for periodontal maintenance cleanings.